작년 2월 목디스크 파열 후 1달을 파열된 줄도 모르고 그 무지막지한 고통을 그대로 견디며 보낸 후 도저히 참을 수 없어서 MRI를 찍었고 목디스크 파열 후 방치로 디스크가 정말 심각하게 흘러나온 것을 발견하고 절망했다. 정말 사기꾼 같은 신경외과 의사 만나서 내가 그렇게 아프다는데 파열 아니라고 MRI 찍을 필요 없다고 계속 도수치료시키면서 한 달이나 방치하게 만들고 지금 생각해도 욕 나온다. 신경외과 의사들은 비급여 항목이 많아서 그런지 환자를 돈으로 보는 의사 많다. 주의하세요.
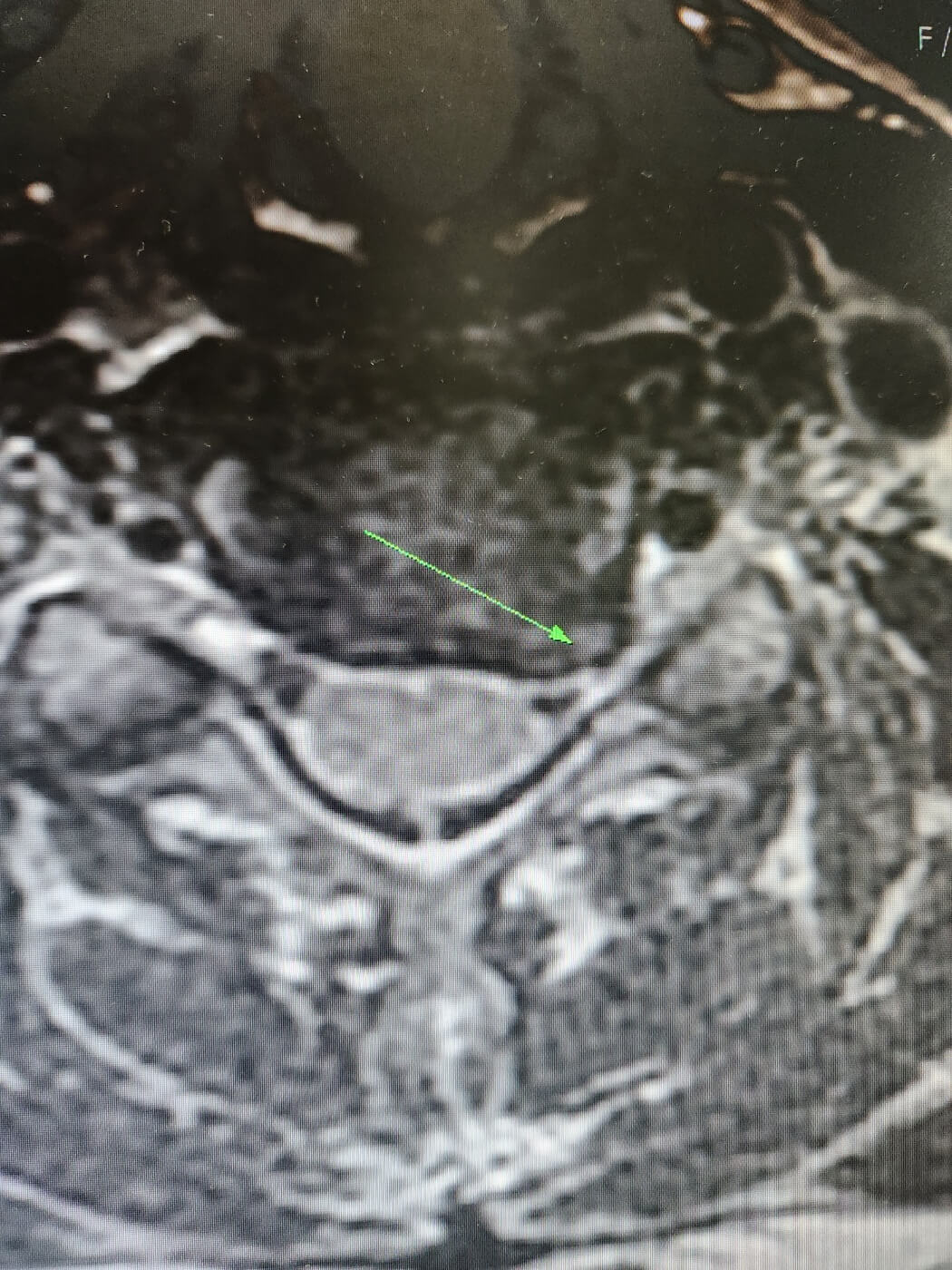
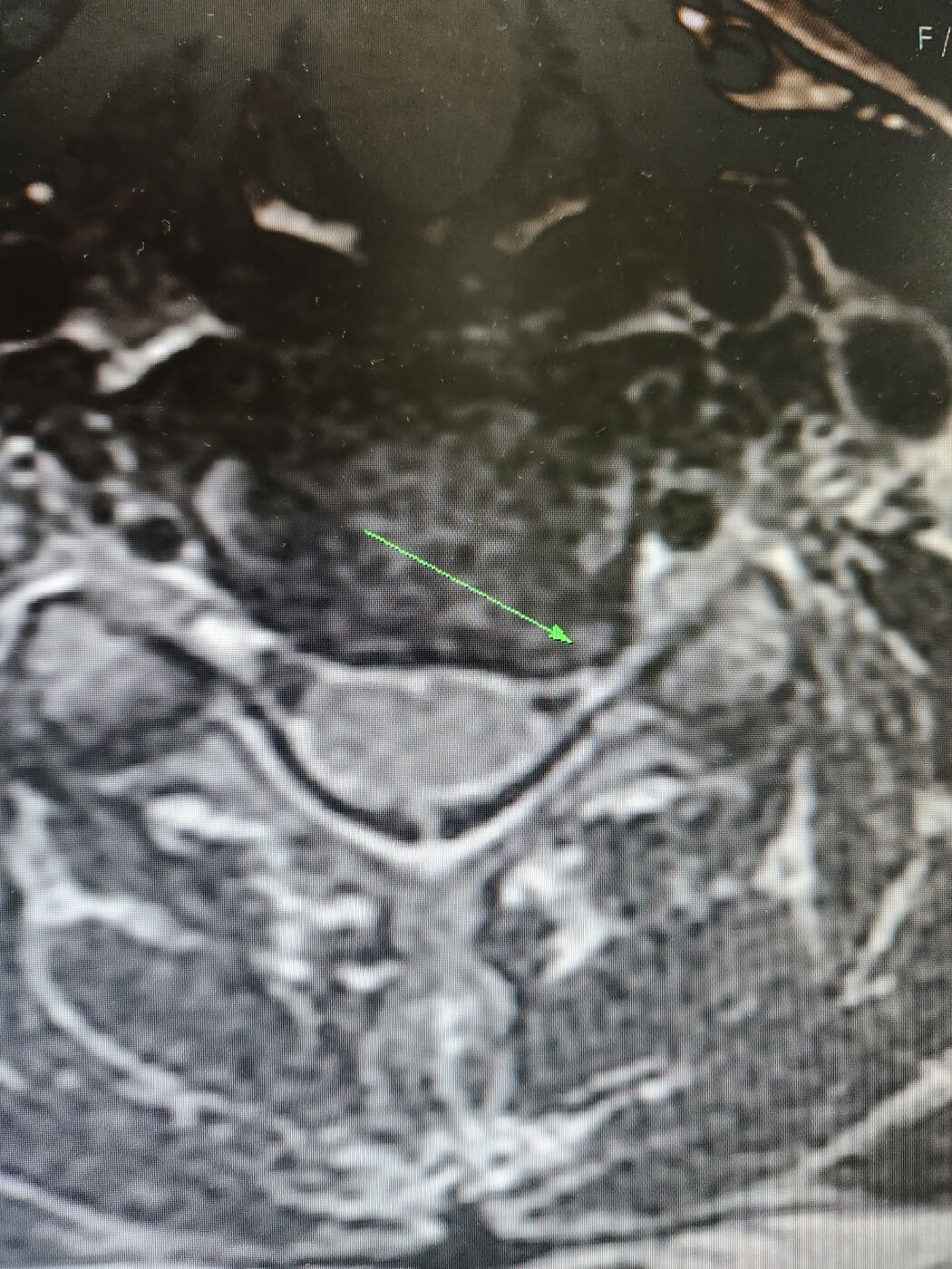
아무튼 작년 3월 터진목 상태는 이랬다.
![]() |
![]() |
얼마나 울고 얼마나 무서웠던지 그러나 벌써 그 시절이 가물가물하다. 당연히 수술을 해야하는 지 알고 병가를 내고 수술에 대해 알아보면 알아볼수록 수술할 자신이 없었다. 대학병원을 네 군데나 돌며 신경차단 주사를 2번 맞고 치료 시작 3개월 만에 수술하지 않아도 된다는 최종 판정을 받았다.
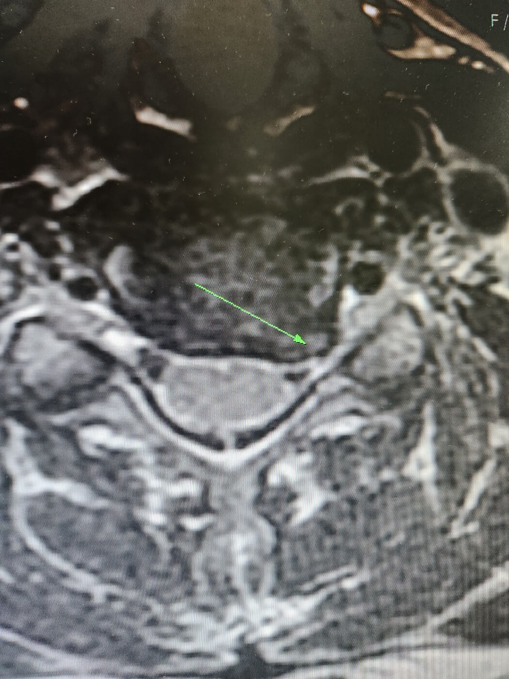
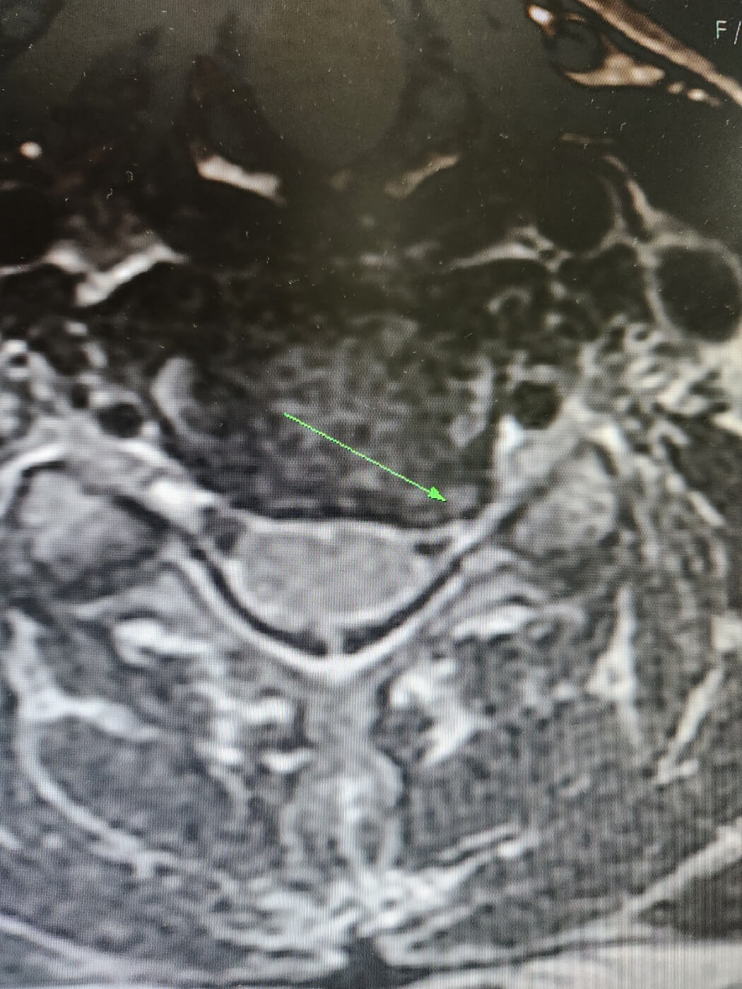
그리고 올해 7월 다시 MRI 찍고 흘러나온 디스크가 줄어들었음을 확인했다. 울퉁불퉁 튀어나온 아이들이 동그랗게 정리되었다.
![]() |
![]() |
하지만 그렇게 기쁘지만은 않다. 처음 수술하지 않아도 된다는 최종 판정을 받았을 때는 이제 수술하고는 완전히 멀어진 거라고 생각했는데 조금 지나면서 깨닫게 되었다. 수술에서 영원히 멀어진 것이 아니라 잠시 미뤄둔 것이라는 것을 나의 미래에는 반드시 목디스크 수술이 있을 것이란 것을 받아들이는 중이다. 많은 노력으로 목디스크 파열 전보다 승모근 통증이 현저하게 줄었지만 손과 팔다리 저림은 여전히 심하고 목은 완전한 일자다. 무엇보다 팔과 손의 힘 빠짐이 느껴지고 있기 때문에 과연 이대로 방치하는 게 맞을까 하는 무서움이 있다. 하지만 통증이 전혀 없기에 조금 더 노력해서 수술까지 기간을 최대한 늘리는 싶은 마음이다. 수술하더라도 나이 들면 다른 부위 다음 수술이 또 기다리고 있다고 하니 디스크로 문제가 생긴 사람은 평생 관리하며 사는 방법밖에 없다.
1년 동안 나의 노력을 정리해 본다.
1. 고개를 숙이는 모든 환경을 제거한다.
일단 고개를 숙일 수 있는 모든 환경을 제거한다. 업무할 때 컴퓨터 모니터, 머리 감을 때 누워 잘 때, 운전할 때 목을 아예 안 숙이고 살 수는 없겠으나 목을 숙이는 동작은 거의 하지 않으려고 노력한다.
2. 한 동작을 오래 하지 않는다.
고개를 아예 안 숙이고 살 수 없기에 목에 무리를 주는 동작, 그 외 허리도 안 좋기에 무슨 동작이든 한 동작을 오래 하지 않는다. 업무 중에도 한 동작을 오래 했으면 꼭 스트레칭으로 척추와 근육에 무리가 가지 않도록 유지한다.
3. 교정기 착용
무척 바쁜 시간이 지나고 나면 교정기를 한 20분 정도 끼고 있는다. 나름 자세 유지에 도움이 되는 거 같다. 무엇보다 일자목을 조금이라도 개선하고 싶어서 낀다. 제품을 여러 개 사봤는데 디닥넥이라고 끼면 아이언맨 같아지는 거가 제일 안정으로 끼기 편했다. 아 베개도 당연히 바꿔야 한다. 목만 받치고 자는 게 제일 좋다고 해서 수건을 감아서 써봤는데 자꾸 움직여서 안 편했고 시중에 목만 베는 좋은 베개들이 많이 나와 있으니 꼭 나에게 맞는 베개를 찾길 바란다.
4. 힘들면 바로 쉰다.
가끔 어지럼증이 있는데 의사 선생님의 목디스크와 상관없는 어지럼증이라고 하시지만 일단 피곤하면 무리하지 않고 쉰다.
5. 통증 오면 바로 치료받는다.
나는 집 근처 목·허리 전문 한의원이 있어서 약침을 꾸준히 맞고 있다. 틍증이 없으면 진짜 가기 싫지만 그래도 꾸준히 맞고 있다. 약침이 튀어나온 아이를 줄어들게 하는 데 효과가 있다고 들었다. 그리고 가끔 통증이 있을때 가면 진짜 거짓말 처럼 낫는다. 신기하다. 개인차가 있으테니 참고만 하세요. 조금이라도 더 작아지렴. 튀어나온 디스크야....
6. 운동은 적당히
목디스크가 터지고 나서 나는 운동이 만병통치약이 아니라는 것을 알았다. 목디스크 터지기 전에는 정말 하기 싫지만 의무감에 등산, 걷기, 필라테스, 요가, 골프, 수영 등등 많이 했었는데 나는 선천적으로 관절이 약한 사람이고 이미 많이 상해있기에 격한 운동이 오히려 독이 된다는 것을 알았다. 또한 체력도 저질이다. 이런 내가 다른 사람들 한다고 다른 사람들이 하는 운동 다 따라 하며 나의 건강을 더욱 악화시켰다. 여러 시행착오를 겪으며 나의 규칙적 운동은 주 2회가 한계고 걷기는 평일 5천보, 주말 만보라는 것을 알았다. 운동량을 줄이니 컨디션이 훨씬 좋다.
7. 식습관 개선을 통한 다이어트
워낙 먹는 걸 좋아해서 항상 저녁을 푸짐하게 먹었는데 자꾸 살이 찌고 아침마다 몸이 너무 심각하게 부었다. 이대로 살다 간 진짜 일찍 죽을 거 같아서 식습관 개선을 시작했다. 아침,저녁은 최대한 간소하게 야채와 과일 위주로 먹고 점심밥 양도 반으로 줄였다. 관절은 잘 모르겠고 일단 붓기가 없어져서 너무 좋다. 그간 별 검사를 다 했는데 순전히 많이 먹어서 부은 거라니 참 내 몸에게 미안하다.
목 허리 디스크(척추) 수술하지 맙시다.
휴대폰의 보급과 컴퓨터 작업의 보편화로 디스크 탈출증은 현대인의 고질병이 되고 있습니다. 누구나 목이나 허리의 통증 한 번쯤 겪어보지 않은 현대인이 없을 정도입니다. 모두 다 같은 자세
korea-1pro.com
'건강' 카테고리의 다른 글
| 마운자로 효능 (0) | 2025.11.29 |
|---|---|
| 혈당 낮은 밥 하는 법 (0) | 2024.03.10 |
| 다이어트 2단계 식욕 억제(자연과 한의원 한약) (0) | 2023.08.20 |
| 다이어트로 당뇨 전단계 극복 1단계 (0) | 2023.08.20 |
| 당뇨 전 단계에서 빨리 탈출하기 (0) | 2023.08.17 |




댓글